KERNSPINTOMOGRAPHIE
MRT
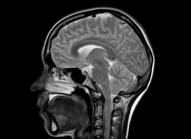
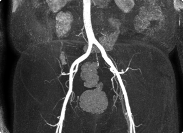
Die Magnetresonanztomographie oder auch Kernspintomographie (MRT) ist ein modernes und seit vielen Jahren etabliertes Schnittbildverfahren zur Untersuchung aller Körperregionen. Um ein Bild zu erzeugen, werden hierbei keine Röntgenstrahlen, sondern ein starkes Magnetfeld eingesetzt, das eine hohe räumliche Auflösung und exzellente Kontrastdarstellung möglich macht.
Fragen & Antworten
Vorbereitung zur Untersuchung
MR-Untersuchungen finden in einem starken Magnetfeld statt. Metallteile, die in das Magnetfeld gelangen, können zu Verletzungen und Bildfehlern, sog. Artefakten, führen. Metallhaltige medizinische Implantate wie Herzschrittmacher, Defibrillatoren und Innenohr-Implantate stellen heute keine absolute Kontraindikation mehr für eine MRT-Untersuchung dar. Implantate müssen vor der Terminvereinbarung auf MRT-Tauglichkeit überprüft werden und ggf. in einen MRT-tauglichen Funktionsmodus eingestellt werden. Informieren Sie uns über das Implantat und bringen Sie Ihren Implantatausweis zur Untersuchung mit.
Während der Untersuchung treten Klopfgeräusche auf, deshalb erhalten Sie im Vorfeld einen Gehörschutz.
Eine MRT-Untersuchung dauert zwischen 10 Minuten und 30 Minuten, je nachdem, welchen Bereich und in welchem Umfang wir Sie untersuchen.
MRT-Untersuchungen führen wir bei Kindern ab dem Vorschulalter durch. Sie erhalten Gelegenheit zu einem Erstgespräch mit dem Arzt und zum Kennenlernen des Gerätes. Bitte rufen Sie uns an oder schreiben Sie eine E-Mail, um einen Termin zu vereinbaren.
Falls Ihr Kind minderjährig ist, benötigen wir eine Einverständniserklärung von einem Erziehungsberechtigten, um die Untersuchung durchführen zu können.
Leiden Sie an Klaustrophobie oder haben Probleme in engen Räumen? Kein Problem: Unsere MR-Geräte haben eine weite Gantry-Öffnung. Sprechen Sie uns an, falls Sie dennoch besorgt sind.
Kontrastmittel
Bei manchen Fragestellungen ist es erforderlich, ein MR-Kontrastmittel zu verabreichen. Die Gabe von MR-Kontrastmitteln wird von den Radiologen im Einzelfall geprüft. Eine Niereninsuffizienz stellt heute keine Kontraindikation zur Kontrastmittelgabe dar. Hierfür benötigen wir den aktuellen Laborwert Kreatinin (nicht älter als 3 Monate). Es gibt für gadoliniumhaltige makrozyklische Kontrastmittel keine Altersbeschränkung mehr. Bei sorgfältiger Prüfung dürfen diese Kontrastmittel auch bei Schwangeren und stillenden Frauen eingesetzt werden.
In welchen Körperbereichen wird MRT angewandt?
- Kopf, Gehirn, Rückenmark
- Gesichts- und Halsweichteile
- Wirbelsäule
- Alle Gelenke
- Muskeln, Bänder und Knorpel
- Alle Bauch- und Beckenorgane
- Gefäßdarstellung




